试题详情
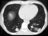
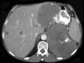
- 多项选择题女,38岁, 低热乏力并消瘦2月余,CT如图所示, 下列说法正确的是 ( )


A、左侧肾上腺区巨大的占位性病灶考虑为肾上腺癌
B、左侧肾上腺区巨大的占位性病灶考虑为嗜铬细胞瘤
C、左侧肾上腺区巨大的占位性病灶考虑为肾上腺腺瘤
D、肺内多发小结节病灶,考虑为肺转移癌
E、肺内多发小结节病灶,考虑为肺结核
关注下方微信公众号,搜题查看答案

热门试题
- 肾脏实性占位的诊断,可帮助鉴别良恶性的征
- 下列关于嗜铬细胞瘤的描述,正确的是A、多
- 妊娠滋养细胞肿瘤包括A、葡萄胎B、侵蚀性
- 下列关于腹膜后脂肪肉瘤的描述,错误的是A
- 下列哪些改变属于神经源性膀胱A、脊髓病变
- 1、CT检查如下图,拟诊断为
- 输尿管结石的并发征象包括( )A、多
- 子宫输卵管造影的适应证有哪些A、不孕症B
- 常见的腹膜后肿瘤包括A、平滑肌肉瘤B、成
- 女,42岁, 左侧腰背部胀痛不适1年余,
- “急性肾静脉栓塞”造影检查,可出现的表现
- 男,38岁, 进行性肾衰竭,有淋巴瘤病史
- 泌尿系统结核的主要X线检查方法是 ( )
- 在膀胱肿瘤的检查方法中,MRI在以下哪几
- 肾移植术后的并发症为 ( )A、血管系统
- 下述描述正确的是A、乳腺纤维瘤和腺癌内均
- 膀胱癌的CT表现,哪些是正确的A、易累及
- 男,72岁, 排尿困难1年余,无手术病史
- 妊娠中后期胎儿在MRI检查中可清晰显示的
- 以下哪种卵巢区囊性病变属于卵巢囊肿范畴(