试题详情
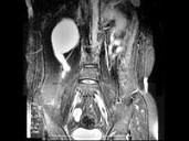
- 多项选择题女,31岁, 右侧腰部胀痛不适,MRI检查如图所示, 下列说法正确的是 ( )



A、右肾重度积水
B、右侧输尿管粗细不均并迂曲扩张
C、右侧输尿管下段呈囊样扩张
D、左肾输尿管未见异常
E、考虑为右侧输尿管囊肿
关注下方微信公众号,搜题查看答案

热门试题
- 1、该患者最适合的影像学检查是2、MRI
- 关于“肾盂癌”,下列要点哪些错误 (
- 关于肾动脉CTA,哪些说法正确A、属于C
- 下列哪些疾病肾盂内有充盈缺损A、肾梗死B
- 左右不成1对的组织是A、卵巢B、肾上腺C
- 关于卵巢Krukenberg瘤的描述,正
- 女,6个月, CT扫描如图所示,下列说法
- 尿路造影中,常见的异常征象有A、肾实质显
- 1、CT检查如下图,拟诊断
- 男,58岁, 尿频,尿痛伴低热乏力2月,
- 正常肾组织的MRI表现,论述正确的是 (
- 男,62岁, 因排尿困难2年,加重伴二段
- MRI检查肾上腺的优点是 (
- 女,28岁, 阴道有异常液体流下,CT和
- 在泌尿系统影像学检查中,尿路造影是常用的
- 1、在选择影像检查方法前,应先了解患者哪
- 1、若占位性病变为肾癌所致,下列哪项对诊
- 关于腹膜后肿瘤的CT表现,正确的描述是(
- 膀胱癌的CT表现有哪些 ( )A、膀胱壁
- 男,33岁, 反复尿频,尿急, 尿痛3年