试题详情
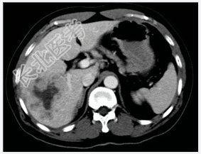
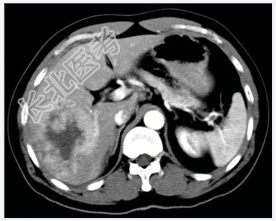
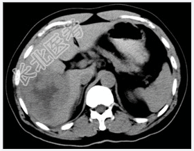
- [材料题] 患者,男性,52岁,因右上腹痛1个月、加重3天入院。体查:肝不大,肝区触痛明显,脾不大。实验室检查血AFP明显增高。行上腹部CT平扫+增强扫描。

- 简答题1、患者的诊断及依据是什么?
关注下方微信公众号,搜题查看答案

- 简答题2、鉴别诊断有哪些?
关注下方微信公众号,搜题查看答案

热门试题
- 1、骨样骨瘤的影像学特征是什么?2、骨样
- 1、脑动脉瘤经血管内治疗技术种类有哪些?
- 1、DSA检查需要进行造影的血管是?2、
- 1、表皮样囊肿影像学诊断有哪些?2、表皮
- 1、患者的诊断及依据是什么?2、鉴别诊断
- 1、请简述该病例的诊断要点是什么?2、鉴
- 1、诊断要点是什么?2、鉴别诊断是什么?
- 1、患者的诊断及依据是什么?2、鉴别诊断
- 1、腹腔动脉造影可显示的血管有?2、除了
- 1、鼻咽纤维血管瘤的诊断要点是什么?2、
- 1、影像诊断思路是什么?2、诊断要点与鉴
- 1、请简述该病例的诊断要点是什么?2、最
- 1、患者的诊断及依据是什么?2、十二指肠
- 1、影像诊断思路是什么?2、诊断要点是什
- 1、诊断要点是什么?2、鉴别诊断是什么?
- 1、诊断及依据是什么?2、鉴别诊断有哪些
- 1、主动脉夹层常见的胸片表现有哪些?2、
- 1、患者的诊断及依据是什么?2、鉴别诊断
- 1、患者的诊断及依据是什么?2、鉴别诊断
- 1、应做哪些检查?2、患者所做检查如图,