试题详情
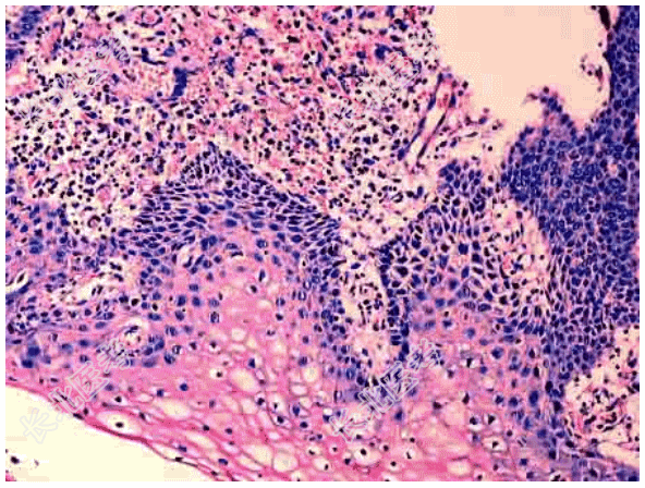
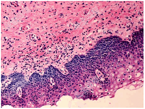
- [材料题] 患者女性,34岁,阴道分泌物增多并有异味,检查宫颈肥大,质硬,宫颈黏膜中度-重度糜烂,取宫颈黏膜活检,显微镜下如图。临床诊断为慢性宫颈炎。

- 简答题1、该疾病的病因包括?
关注下方微信公众号,搜题查看答案

- 简答题2、该疾病的病理改变表现为?
关注下方微信公众号,搜题查看答案

热门试题
- 1、最常发生骨转移的癌依次是?2、骨转移
- 1、早期胃癌分为?最多见的是?2、表浅型
- 1、该疾病的病理改变为?2、该疾病的典型
- 1、传统上我国学者一般将食管鳞状细胞癌分
- 1、该疾病病因包括?2、该疾病多发于?3
- 1、该疾病的镜下改变表现为?2、该疾病免
- 1、该患者可能的诊断为?2、该疾病好发年
- 1、肝硬化主要病因是?2、根据大体形态学
- 1、该疾病镜下改变表现为?2、该疾病特殊
- 1、该疾病免疫表型表达?2、该疾病的扩散
- 1、该患者应诊断为?2、该疾病免疫组化表
- 1、该患者可能诊断为?2、该病例的疾病类
- 1、该疾病肉眼改变表现为?2、该疾病的并
- 1、该疾病的主要危险因素是?2、动脉粥样
- 1、该疾病病因包括?2、该疾病肉眼改变表
- 1、该疾病的临床特点是?2、该疾病的病理
- 1、肝细胞癌的肉眼改变表现为?2、根据细
- 1、最可能的疾病是?2、该疾病的病因是?
- 1、该疾病好发于哪个年龄段?2、该疾病好
- 1、最先怀疑的疾病是?2、该疾病的病因包