试题详情
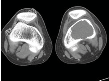
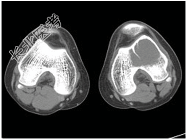
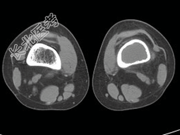
- [材料题] 患者,男,33岁,左股骨肿块半年余,无明显症状,查体一般情况良好。

- 简答题1、结合所提供的图像,该患者诊断为?
关注下方微信公众号,搜题查看答案

- 简答题2、该疾病的治疗原则是?
关注下方微信公众号,搜题查看答案

热门试题
- 1、阴茎肿物的初步诊断可能为2、还需要与
- 1、初步考虑哪些疾病?2、需要行哪些检查
- 1、该患者皮肤结节的可能诊断有2、该患者
- 1、该患者的诊断2、精原细胞瘤的主要症状
- 1、对目前的诊断和治疗有何建议?2、该患
- 1、该患者的诊断2、病因是什么?3、免疫
- 1、患者的诊断考虑为?2、为明确诊断,除
- 1、该患者的初步诊断是什么?2、诊断依据
- 1、针对睾丸病变首选的影像学检查为2、需
- 1、该患者的临床分期为2、该患者首选治疗
- 1、该患者的诊断2、该患者目前主要的治疗
- 1、该患者的诊断及诊断依据是什么?2、进
- 1、该患者的诊断2、该患者目前主要的治疗
- 1、患者需要再次手术吗?如果不需要手术什
- 1、该患者的诊断2、伽马刀治疗的原理是什
- 1、该患者的诊断2、该患者目前主要的治疗
- 1、请简述保乳手术的禁忌证2、该患者的临
- 1、该患者的诊断2、该患者目前主要的治疗
- 1、目前考虑的诊断是什么?2、诊断依据是
- 1、患者下一步治疗考虑?2、患者无化疗禁