试题详情
- [材料题] 患儿男性,3岁9个月,因“发现右腹部无痛性肿物1周”入院。无发热,无血尿,无气促。查体:右侧中腹部可扪及肿物,约6cm×4.5cm,表面光滑,活动度差。门诊B超显示:右肾占位病变,约7.5cm×4.8cm,左肾未见肿物。
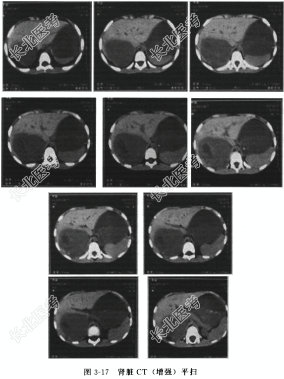
患者为男性儿童。入院时PS评分为1分,肾脏平扫(图3-17)示:右肾见一7.5cm×4.8cm×6.0cm占位,增强扫描后病灶局部明显强化,边界清楚,腹主动脉旁淋巴结肿大,下腔静脉未见癌栓形成,左肾未见异常。胸部CT扫描显示双肺未见异常。

- 简答题1、对目前的诊断和治疗有何建议?
关注下方微信公众号,搜题查看答案

- 简答题2、该患儿具体的手术治疗方案是什么?
关注下方微信公众号,搜题查看答案

- 简答题3、术后病理提示:肿瘤外观完整,未分化型,腹主动脉旁淋巴结转移。该患者属于哪期?下一步治疗的具体方案是什么?
关注下方微信公众号,搜题查看答案

热门试题
- 1、患者术后的诊疗方案是2、患者术后1个
- 1、诊断是什么?2、描述X线片所见。3、
- 1、患者需要完善哪些检查?2、子宫增大如
- 1、诊断是什么?2、描述一下X线片特征。
- 1、该患者目前的临床分期是2、该患者治疗
- 1、该患者最可能的临床诊断是2、该患者下
- 1、该患者的诊断为?2、该患者诊断为胸膜
- 1、该患者的初步诊断为2、鉴别诊断为
- 1、该患者的诊断2、该患者目前主要的治疗
- 1、患者的诊断考虑为?2、为明确诊断,除
- 1、该患者诊断可能是?2、该病临床诊断标
- 1、该患者的诊断2、该患者目前主要的治疗
- 1、该患者的诊断2、该患者目前主要的治疗
- 1、该患者的诊断2、该患者目前主要的治疗
- 1、目前考虑的诊断是什么?2、诊断依据是
- 1、该患者最可能的诊断是2、该患者下一步
- 1、结合所提供的图像,该患者诊断为?2、
- 1、该患者的诊断2、根据病史汇报,该患者
- 1、该患者的诊断2、该患者目前主要的治疗
- 1、目前考虑的诊断是什么?诊断依据是什么