试题详情
- [材料题]
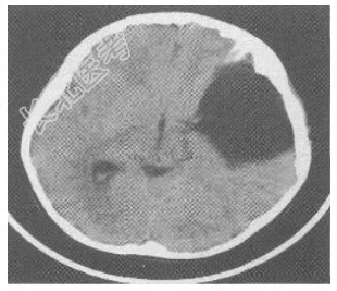
患儿男性,9岁。因“反复头痛半年,加重1天”入院。缘于入院前半年无明显诱因出现阵发性头痛,以左侧颞部明显,呈闷痛样性质,未向他处放射,每次持续约数分钟至半小时不等,尚可忍受,休息后可缓解,无发热、呕吐、四肢抽搐,无偏瘫、失语、智力异常等,未重视未诊治。1天前上述症状加重,部位及性质同前,发作更为频繁,无法正常学习、生活。病程中,食欲尚可,二便正常。体格检查T36.7℃,P98次/min,R20次/min,BP96/58mmHg。神志清楚,言语清晰,对答可,记忆力、定向力、反应力正常。头围54cm,头颅外观无畸形。双侧瞳孔等大等圆,直径约3.0mm,对光反应灵敏,双眼各向活动正常。双侧额纹对称,口角无歪斜,伸舌居中。颈软,心肺腹部查体无明显异常,四肢肌力及肌张力正常,双侧病理征阴性,脑膜刺激征阴性,小脑征阴性。辅助检查头颅CT平扫(图6-38)提示左侧颅中窝蛛网膜囊肿。头颅MRI平扫(图6-39)提示左侧颅中窝占位性病变,大小为8.0cm×6.5cm×6.4cm,考虑蛛网膜囊肿。
图6-38头颅CT诊断左侧颅中窝蛛网膜囊肿。

图6-39头颅MRI治疗完善术前准备,包括三大常规、凝血功能、肝肾功能、电解质检测,完善心电图、胸部X线片、腹部超声等常规术前评估。除了上述常规的外科术前检查以外,还有如下专科检查和处理。(1)脑电图未见明显脑电异常。(2)眼科检查测眼压10mmHg(眼压计测量法)。(3)腰椎穿刺术颅内压130mmHg,脑脊液常规及生化正常。(4)予以在全麻下行蛛网膜囊肿造瘘术。
- 简答题1、
目前考虑的诊断是什么?诊断依据是什么?
关注下方微信公众号,搜题查看答案

- 简答题2、
颅中窝蛛网膜囊肿是何种性质的肿物?
关注下方微信公众号,搜题查看答案

- 简答题3、
蛛网膜囊肿的症状通常有哪些?
关注下方微信公众号,搜题查看答案

热门试题
- 1、患者的可能的诊断及诊断依据为? 2
- 1、什么是Bezold-Jarisch反
- 1、患者诊断及诊断依据为? 2、需要与
- 1、根据患者入院时的临床特征,GCS评分
- 1、目前考虑的诊断是什么?需要与哪些疾病
- 1、根据患者入院时的临床特征诊断为?
- 1、诊断为少突胶质细胞瘤依据是什么?
- 1、患者诊断及诊断依据为? 2、需要鉴
- 1、初步诊断是什么? 2、诊断依据是什
- 1、患者初步诊断为? 2、确诊需进一步
- 1、患者诊断为? 2、治疗措施为?
- 1、患者诊断及诊断依据为? 2、典型临
- 1、目前考虑的诊断是什么?诊断依据是什么
- 1、为改善该患者临床症状,哪些类药物可以
- 1、患者诊断及诊断依据为? 2、需进一
- 1、患者诊断为? 2、需进一步的检查包
- 1、该患者肺癌脑转移的诊断依据是什么?
- 1、初步诊断及诊断依据是什么? 2、该
- 1、患者考虑诊断为何种疾病? 2、可能
- 1、该病的病理特点是什么? 2、该病的