试题详情
- [材料题]
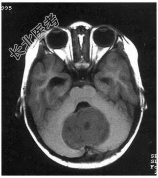
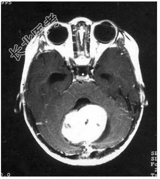
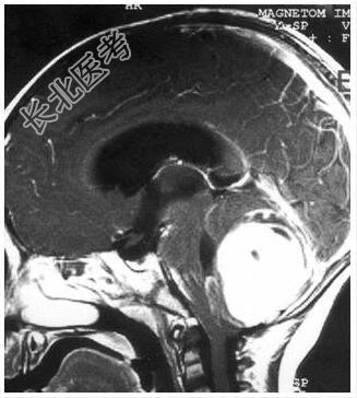
病历摘要:患儿男性,11岁。半年前开始出现行走不稳,常无故跌倒。半月前出现发作性剧烈头痛,伴恶心呕吐。体检:T36℃,P100次/分,R22次/分,BP100/60mmHg,神清,言语较缓慢,双眼外展约不及边,双眼侧视时有小幅度水平眼震。四肢肌力正常,右上肢肌张力较低,坐位姿势不稳,常不自主摇晃,双上肢指鼻不准,行走蹒跚步态,足距扩大,身前倾。患儿行头颅MR检查(见图)




- 简答题1、
患者诊断为?
关注下方微信公众号,搜题查看答案

- 简答题2、
治疗措施为?
关注下方微信公众号,搜题查看答案

- 简答题3、
术后8日伤口拆线,第二日发现伤口有清亮液体搏动性流出,伤口出现脑脊液漏,考虑可能与哪些因素有关?
关注下方微信公众号,搜题查看答案

热门试题
- 1、初步诊断及诊断依据为? 2、该病的
- 1、患者手术后的治疗原则应是? 2、胶
- 1、目前患者癫痫发作形式主要是什么?
- 1、初步诊断及诊断依据是什么? 2、鉴
- 1、该病的病因是什么?发病机制是什么?
- 1、患者诊断及诊断依据为? 2、确诊需
- 1、初步诊断及诊断依据是什么? 2、需
- 1、周围神经肿瘤的类型及特点? 2、应
- 1、有哪些危险因素与颈动脉狭窄发病有关?
- 1、其病变性质最可能是? 2、需要进一
- 1、初步诊断及诊断依据是什么? 2、鉴
- 1、初步诊断及诊断依据是什么? 2、该
- 1、患者的诊断及诊断依据为? 2、确诊
- 1、简述先天性脑积水的特点和可能的原因?
- 1、室管膜瘤MRI影像特点为? 2、室
- 1、患者诊断及诊断依据为? 2、典型临
- 1、患者诊断及诊断依据为? 2、需进一
- 1、什么是Bezold-Jarisch反
- 1、该患者的诊断为? 2、诊断依据为?
- 1、简述脑囊虫病的特点和可能的临床表现?