试题详情
- [材料题]
患者男,16岁,学生。运动之后四肢无力10年,并伴肌肉僵硬、痉挛疼痛。症状晨轻暮重,低强度运动休息片刻可完全恢复正常。无肉跳、肌肉萎缩,无睁眼费力、咀嚼吞咽困难,无呼吸困难,无肢体麻木。近1个月四肢无力呈持续性,并以下肢远端为主,上楼费力,严重时须扶墙行走。卧床休息后可部分缓解。双上肢抬举及双手精细动作不受影响。自发病以来,患者饮食、睡眠正常,大小便正常,体重无减轻。既往史:第2胎足月,顺产。生长发育史、体格、智力正常。否认家族史。查体:内科系统查体及神经系统查体阴性。CK 567U/L。胸部CT:左侧前纵隔占位,胸腺瘤可能性大。外院新斯的明试验可疑阳性。RyR抗体水平升高0.498,但AChR、MuSK抗体阴性。疲劳试验、新斯的明试验阴性。低频重复神经电刺激尺、腋、面神经未见异常。
- 简答题1、
为明确诊断需要进一步检查
关注下方微信公众号,搜题查看答案

- 简答题2、
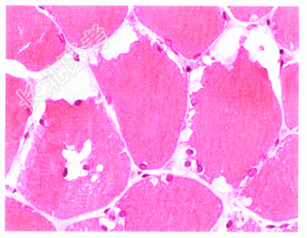
患者诉双下肢剧烈运动后可出现肌痛、痉挛,但坚持缓慢行走有助于痉挛减轻或消失,此后肌无力持续较长时间。前臂缺血试验阳性(运动后4~5min血乳酸2.1mmol/L),单纤维肌电图阴性,针极肌电图提示上下肢肌源性损害。肌肉HE染色见下图;骨骼肌组织化学染色可见磷酸化酶缺乏。那么最可能的诊断是

关注下方微信公众号,搜题查看答案

热门试题
- 1、此患者可能的诊断有 2、肌电图:右
- 1、急诊应尽快完善哪些检查 2、脑脊液
- 1、此患者脑出血的原因可能是 2、此患
- 1、初步诊断为 2、如何进行治疗
- 1、此患者可能的转归是 2、此患者应给
- 1、本病的诊断为 2、本病常见的病因有
- 1、该患者需进行的检查包括 2、该患者
- 1、其运动障碍的机制是 2、最可能的诊
- 1、请问为明确诊断需要做的检查有哪些
- 1、建议患者进行什么检查 2、辅助检查
- 1、从临床角度初步判断此病例诊断可能为
- 1、为明确诊断,需完善哪些检查 2、若
- 1、有利于症状评定的量表包括 2、首选
- 1、患者初步诊断主要应考虑哪些疾病 2
- 1、此患者可能的诊断包括 2、须完善的
- 1、此患者可能的病变部位为 2、此患者
- 1、首先考虑的诊断是 2、患者入院检查
- 1、为明确诊断需要进一步检查 2、患者
- 1、该患者诊断首先考虑 2、为明确诊断
- 1、此患者初步诊断须考虑 2、为明确诊