- [材料题]
女性患者,30岁。因“间断发热伴头痛、呕吐5个月”就诊。患者于5个月前无明显诱因出现发热,体温最高达39℃,头痛部位不固定,并伴有呕吐,发热时四肢肌肉疼痛,严重时不能行走,并有发作性双眼视物模糊,无抽搐。经“头孢呋辛”等抗感染药物治疗体温可下降,但头痛不完全缓解,数日后体温再升高。5年前曾诊断“蛛网膜囊肿”,未治疗。否认疫区居住史。查体:意识清楚,言语流利,双瞳孔等大正圆,直径3mm,眼底视盘水肿,眼动充分,无明显眼震,面纹对称,伸舌居中;四肢肌力5级,双侧深浅感觉未见异常,病理反射未引出;颈稍抵抗,克尼格征(-)。血常规、尿常规、粪常规、血生化均正常。腰椎穿刺:压力300mmH₂O,无色透明,潘氏试验(+),细胞320×10⁶/L,RBC 130×10⁶/L,WBC 190×10⁶/L,单个核细胞0.7,多个核细胞0.3,TP 875mg/L,Cl 116mmol/L,Glu 2.02mmol/L;脑脊液巨细胞病毒、单纯疱疹病毒Ⅰ型、风疹病毒、弓形体、微小病毒B19、柯萨奇病毒B型抗体均阴性。血巨细胞病毒、单纯疱疹病毒Ⅰ型、风疹病毒、柯萨奇病毒B型IgG抗体均阳性。血莱姆病IgG抗体(±),血弓形虫DNA低于检测下限。颅脑MRI(增强):左侧颞顶叶局部脑萎缩。
- 简答题1、
此患者可能的病变部位为
关注下方微信公众号,搜题查看答案

- 简答题2、
此患者须初步考虑的疾病有
关注下方微信公众号,搜题查看答案

- 简答题3、
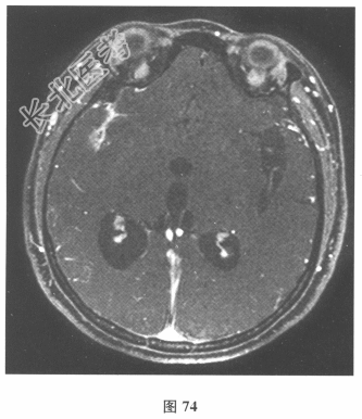
患者入院后复查腰椎穿刺:脑脊液抗酸染色(-),墨汁染色(-),嗜酸性粒细胞比例增高,淋巴细胞体积较大。血及脑脊液弓形虫抗体均(-),血及脑脊液囊虫IgG抗体均(+),莱姆病抗体(-)。追问病史,曾经食用过“米猪肉”。进一步行颅脑MRI检查见图74、图75。)根据上述患者病史和检查结果,对此患者下一步治疗的药物包括


关注下方微信公众号,搜题查看答案

- 简答题4、
提示脑囊虫病治愈的指征有
关注下方微信公众号,搜题查看答案

- 1、患者入院后应要进行的检查有 2、神
- 1、患者初步诊断主要应考虑哪些疾病 2
- 1、此患者可能的转归是 2、此患者应给
- 1、有助于诊断的检查有 2、可能的诊断
- 1、根据上述资料,建议患者进行哪些检查
- 1、为明确诊断需要进一步检查 2、患者
- 1、其运动障碍的机制是 2、最可能的诊
- 1、患者首选检查为 2、患者病史中对诊
- 1、为明确诊断,需完善哪些检查 2、若
- 1、该患者病变部位考虑的是 2、进一步
- 1、门诊询问病史时,还需采集哪些信息
- 1、结合病史,最可能的诊断是 2、需完
- 1、该患者最可能的诊断是 2、半年余后
- 1、为明确诊断,应立即检查 2、颅脑C
- 1、患者意识淡漠、嗜睡最可能的原因应为
- 1、患者存在的精神症状包括 2、在诊断
- 1、此患者可能的诊断有 2、肌电图:右
- 1、从临床角度初步判断此病例诊断可能为
- 1、可能的病因有 2、患者高血压病史1
- 1、有利于症状评定的量表包括 2、首选