试题详情
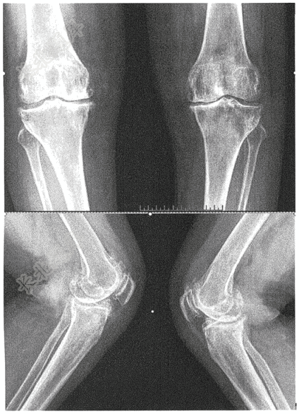
- 简答题女,63岁,双膝活动后疼痛,有响声3年,请判读下方是什么部位,什么项目

关注下方微信公众号,搜题查看答案

热门试题
- 患者男性,72岁。进展期胃癌,颈部体检发
- 男性,65岁,言行异常数天,以下哪项说法
- 患者,男,50岁,突发心慌1小时 <
- 女性患者,因受凉后高热、咳嗽、咳脓痰5天
- 患者男,72岁,因胸闷心悸来院就诊,根据
- 患者女,45岁,气促、发热1月余。午后低
- 男性,25岁,发现血尿三天( )
- 男性患者,65岁,因右侧肢体乏力一天,突
- 男性患者,因体检胸片发现右下肺病变入院,
- 男性,26岁,胸痛1小时( )
- 患者男性,75岁,突发心悸3小时。既往有
- 患者女,51岁,突发语言障碍伴右侧肢体乏
- 下列心电图检查最可能的是( )
- 患者男性,42岁,阵发性腹痛2天,渐进性
- 下图是肌电图中何种异常自发电位( )
- 男性,38岁,发热1月余( )
- 患者男性,50岁,间断性上腹痛1天,加重
- 男性患儿,1岁。发现心杂音半年来诊,口唇
- 请选出正确诊断( )
- 患者男,48岁。健康体检化验。诊断: