试题详情
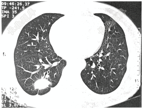
- 单项选择题男性患者,因体检胸片发现右下肺病变入院,既往体健,有粉尘接触史。否认吸烟史。查体无异常。最可能诊断是( )

A、结核球
B、机化性肺炎
C、炎性假瘤
D、周围型肺癌
E、球形肺炎
关注下方微信公众号,搜题查看答案

热门试题
- 患者男性,49岁,长期吸烟史,咳嗽、咳痰
- 青年男性,23岁,因发现右阴囊肿物2年入
- 男,59岁,以“间断胸闷、心慌1年余”为
- 下列心电图检查最可能的是( )
- 患者男,35岁。发现阴囊增大半年,无不适
- 患者男,40岁,高热、咳嗽5天,咳铁锈色
- 男性,61岁发热( )
- 患者,女,57岁,主诉“发现左乳肿块1周
- 女性,61岁,发现左腕部肿物1月余,质硬
- 请报告箭头所指细胞的名称
- 患者男,67岁,根据其心电图写下简要描述
- 患者女性,50岁,肝区疼痛、腹胀。
- 患者男,35岁。外伤后1小时。诊断
- 中年男性,因淋雨后出现高热,伴有咳嗽,咳
- 患者女性,50岁,常规体检心电图如下
- 女,46岁,间断心悸20余年。
- 男性,45岁,右大腿外伤1小时来诊,查X
- 下列心电图检查最可能的是( )
- 请报告箭头所指细胞的名称
- 下列心电图检查最可能的是( )