试题详情
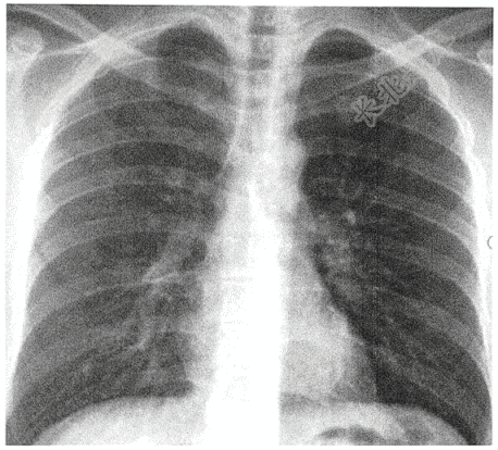
- 单项选择题男性,26岁,胸痛1小时( )

A、右侧气胸
B、左肺炎症
C、左侧液气胸
D、右侧肺炎
E、左侧气胸
关注下方微信公众号,搜题查看答案

热门试题
- 患者男,40岁,腹痛1小时。
- 男,40岁,车祸致右髋疼痛、活动障碍1天
- 下图是肌电图中何种异常自发电位( )
- 男性,70岁,发热( )
- 男,59岁,以“间断胸闷、心慌1年余”为
- 患者男性,72岁。进展期胃癌,颈部体检发
- 请指出下列血气分析中哪一项是Ⅰ型呼吸衰竭
- 患者,男,42岁,发现表面抗原阳性1年。
- 青年女性,28岁,因发现右乳肿物1周入院
- 患者女性,50岁,肝区疼痛、腹胀。
- 患者,男,31岁,因上腹痛就诊,行B超如
- 男性,32岁( )
- 请选出正确诊断( )
- 请选出正确诊断( )
- 男,68岁。因“上腹痛1年,解黑便伴头晕
- 下列心电图诊断最可能的是( )
- 患者女,62岁,因胸痛急诊就诊,根据其心
- 请选出正确诊断( )
- 患者男性,55岁,胸闷、胸痛2小时住院,
- 男性患者,因运动后突发剧烈胸痛半小时入急