试题详情
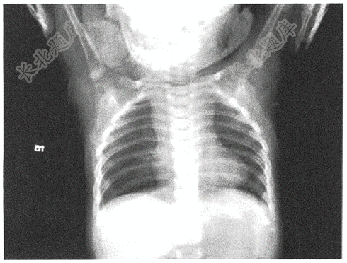
- 简答题男性患儿,1岁。发现心杂音半年来诊,口唇发绀,胸骨左缘可闻3-4Ⅲ/6收缩期杂音,P2不亢,上肢SPO₂72%,下肢SPO₂70%。胸片如图。

关注下方微信公众号,搜题查看答案

热门试题
- 女性,55岁,腹痛腹胀伴恶心呕吐1天,大
- 女,42岁,左髋疼痛30余年,加重3月为
- 患者男性,40岁,突发左腰部疼痛伴境下血
- 患者男性,65岁。腹胀2月就诊。CT如图
- 患者,女性,38岁,乏力、纳差两月。请结
- 患者男,35岁。外伤后1小时。诊断
- 患者男性,49岁,长期吸烟史,咳嗽、咳痰
- 请选出正确答案( )
- 患者男性,58岁。因“腹胀1月”来院就诊
- 男,39岁,背部疼痛10年余( )
- 男性,63岁,右上腹胀痛2年,体重减轻1
- 患者女性,56岁,心悸3个月,查心电图如
- 男,44岁,反复呕血、黑便4天,行上消化
- 患者男,67岁,根据其心电图写下简要描述
- 患者女性,28岁,主因消瘦、乏力,心悸、
- 女性,54岁,发热两天( ) <
- 患者女性,72岁,间歇性跛行1年余。行下
- 下列心电图检查最可能的是( )
- 患者男,63岁,反复腹痛2月余
- 患者女性,自觉颈部胀痛1月,查体可见甲状