试题详情
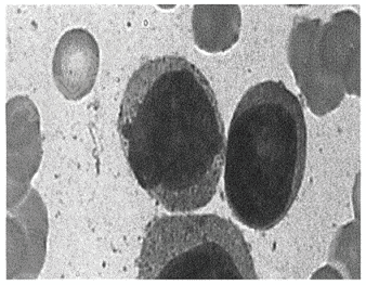
- 单项选择题患者男,56岁。其骨髓穿刺涂片如图所示,该患者最可能的诊断是( )

A、急性单核细胞白血病
B、红白血病
C、急性淋巴细胞白血病
D、急性早幼粒细胞白血病
E、急性粒细胞白血病
关注下方微信公众号,搜题查看答案

热门试题
- 患者男性,58岁。因“腹胀1月”来院就诊
- 男,30岁,腹痛12小时,剑突下及中腹部
- 患者男性,64岁,身高170cm,体重7
- 患者,男性,30岁,咳嗽2月,胸闷、胸痛
- 患者男,47岁,反复腰痛10年,血尿1天
- 患者,男,49岁,胸痛1小时
- 患者男,72岁,因胸闷心悸来院就诊,根据
- 中年男性,43岁,因反复呕吐2月入院。呕
- 心电图检查最可能的是( )
- 男,40岁,车祸致右髋疼痛、活动障碍1天
- 请选出正确诊断( )
- 患者男性,66岁,主因胸闷伴呼吸困难1周
- 请选出正确诊断( )
- 男,62岁,咳嗽、咳痰,痰中带血1周(
- 患者女性,75岁,咳嗽、咳痰3个月,加重
- 男,28岁,低热、盗汗一月余。( )
- 男性,57岁( )
- 请选出正确答案( )
- 患者男性,42岁,阵发性腹痛2天,渐进性
- 患者男,35岁。发现阴囊增大半年,无不适