试题详情
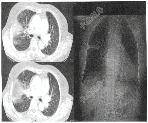
- 单项选择题男性,61岁发热( )

A、右肺上叶周围型肺癌伴空洞
B、右肺上叶肺炎
C、右肺上叶脓肿伴空洞
D、右肺上叶浸润性结核
E、右肺上叶包裹性积液
关注下方微信公众号,搜题查看答案

热门试题
- 患者男,72岁,因胸闷心悸来院就诊,根据
- 女性,76岁,原有冠心病史,因胸痛3h住
- 患者男,56岁。其骨髓穿刺涂片如图所示,
- 患者男性,50岁,间断性上腹痛1天,加重
- 男性,36岁。5个月前因“上腹痛15小时
- 请报告箭头所指细胞的名称
- 男,59岁,以“间断胸闷、心慌1年余”为
- 患者,男性,65岁,腹胀、乏力2月,请结
- 患者女性,60岁。腹痛腹胀,停止排便排气
- 男性,25岁,发现血尿三天( )
- 患者男,64岁,因长期胸闷来就诊,根据其
- 患者男,49岁,根据其心电图写下简要描述
- 患者,男性,65岁,腹痛、腹胀2天,请结
- 男,32岁。眼部外伤1天入院。术前检查,
- 男性,70岁,发热( )
- 请选出正确答案( )
- 男性患儿,1岁。发现心杂音半年来诊,口唇
- 患者男,20岁,浮肿1月余,气促1周。查
- 男性,45岁,右大腿外伤1小时来诊,查X
- 老年患者,因反复胸闷、气促2年,加重伴痰