试题详情
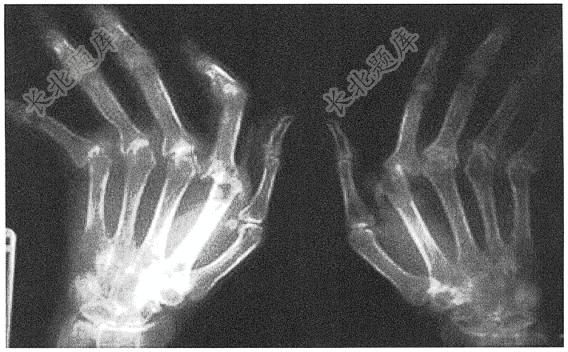
- 单项选择题患者女,56岁,反复关节疼痛10年,活动受限2年,可能的诊断是( )

A、类风湿性关节炎
B、痛风性关节炎
C、骨质疏松
D、肾性骨病
E、退行性变
关注下方微信公众号,搜题查看答案

热门试题
- 患者女,52岁,体检超声发现肝脏占位性病
- 中年男性,因淋雨后出现高热,伴有咳嗽,咳
- 患者男性,76岁,主因进行性吞咽困难2个
- 血气分析呼酸+代酸,如图所示血气分析结果
- 患者女,35岁,上腹部不适半年余。
- 男,59岁,以“间断胸闷、心慌1年余”为
- 女,61岁,摔倒后致腰背部疼痛,活动不能
- 请选出正确诊断( )
- 患者,男,42岁,发现表面抗原阳性1年。
- 患者男,64岁,因长期胸闷来就诊,根据其
- 男性,65岁,言行异常数天,以下哪项说法
- 男,45岁,高处坠落致右踝疼痛、肿胀3天
- 女性,52岁,有“小三阳”病史6年,呕血
- 请选出正确诊断( )
- 患者女性,75岁,咳嗽、咳痰3个月,加重
- 患者男性,48岁。反复呕血半年就诊。食管
- 男性,57岁( )
- 男,36岁,无诱因双髋逐渐加重的疼痛6月
- 请选出正确诊断答案( )
- 请选出正确诊断( )