试题详情
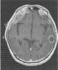
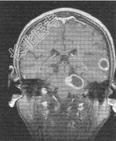
- 单项选择题患者男,72岁。肺癌术后一年余, 现出现头晕头痛,MR图像如下, 最具有可能的诊断是

A、脑淋巴瘤
B、脑转移癌
C、脑炎
D、脑胶质瘤
E、脑膜瘤
关注下方微信公众号,搜题查看答案

热门试题
- 以下最能够体现恶性肿瘤特征的是A、对机体
- 女性患者,54岁, 因吞咽疼痛行喉镜发现
- 有关肺癌CT增强扫描特点的描述,以下说法
- 利妥昔单抗联合化疗治疗B细胞淋巴瘤的有效
- 不影响上颌窦癌预后的因素包括A、病理类型
- 患者男,45岁。因"反复肉眼血尿, 发现
- 髓母细胞瘤综合治疗的5年生存率为 (
- 1、此患者的诊断首先考虑为( )2、
- 光镜下区分癌和肉瘤的主要依据为A、细胞异
- 小细胞肺癌的影像学典型表现描述中不正确的
- 与DNA序列测定相比,实时PCR(Rea
- 下列关于原发性骨肿瘤活检术不正确的是A、
- 1、根据以上CT获得的信息,可能的诊断包
- 家族性乳腺癌的遗传易感性因素包括有A、A
- 关于乳腺小叶瘤变,叙述不正确的是A、免疫
- 1、当病理医师处理该例会诊时应该考虑的情
- 1、结合患者现病史、既往史和影像学表现,
- 声门癌的主要临床表现为 ( )A
- 鼻咽癌淋巴结转移的第一站是A、颈后三角淋
- 1、此患者临床分期为( )A、ⅠB期