试题详情
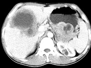
- 单项选择题女,61岁, 上腹部疼痛1个月,食欲减退, 消瘦,CT所见如图, 最可能的诊断为( )




A、原发性肝癌
B、肝包虫病
C、肝转移瘤
D、胃癌肝转移
E、肝脓肿
关注下方微信公众号,搜题查看答案

热门试题
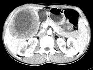
- 女,66岁, 右上腹痛,发热伴有黄疸两月
- 分子靶向治疗临床试验观察指标更注重A、疗
- 早期声门区喉癌(TNM)的合理治疗手段是
- 男,23岁, 下腹部肿块伴持续性钝痛1月
- 1、依据患者术后病理报告pTNM分期为T
- 我国2012年最新公布的癌症死因顺位是(
- 男,35岁, 病人低热、消瘦、乏力,左右
- 甲状腺癌预后最好的病理类型为A、乳头状腺
- 常用抗癌中草药白花蛇舌草属于( )A
- 1、该患者右乳腺多发钙化灶的处理方式应为
- 在临床放射治疗计划中关于等效生物剂量的考
- 从治疗效果和保留器官功能来考虑,早期头颈
- 1、根据上述病史、检查,临床诊断考虑为(
- 睾丸精原细胞瘤患者,腹部有> 1
- 临床常见的肝细胞癌血清肿瘤标志物有(
- 以下关于肾盂癌的说法正确的有 (
- 关于肿瘤,表述正确的是A、80%以上的肿
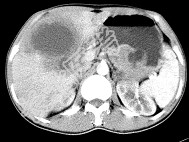
- 男,55岁, 上腹部隐痛1月余,CT检查
- 通过目的基因的随机整合,使其表达产物补偿
- 高级别上皮内肿瘤是A、交界性肿瘤B、交界