试题详情
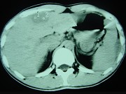
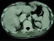
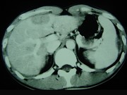
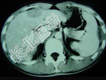
- 单项选择题男,35岁, 病人低热、消瘦、乏力,左右季肋区疼痛, CT扫描如图所示,请选择最佳诊断 ( )




A、肝海绵状血管瘤、腹腔脓肿
B、肝脏及腹腔转移瘤
C、肝脓肿、腹腔脓肿
D、肝癌、腹腔转移
E、肝结核、腹腔结核
关注下方微信公众号,搜题查看答案

热门试题
- 肿瘤的化学干预是 ( )A、肿瘤
- 1、首选诊断方法2、最可能的诊断为
- 1、除定期体格检查、复查肝脏、腋窝及颈部
- 与胸腺瘤预后有关的临床、病理指标包括A、
- 1、出血的可能来自 ( )A、输
- 没有淋巴结受侵和远处转移的Ⅰ期黑色素瘤患
- 以下选项中与肿瘤逃逸机制无关的是(
- 对于综合判定肿瘤良恶性来说,最关键的是A
- 关于肿瘤,表述正确的是A、80%以上的肿
- 鼻腔及鼻窦恶性肿瘤最常见的病理类型为A、
- 1、根据现有资料,该患者乳腺癌病理分期为
- 女性患者,54岁, 因吞咽疼痛行喉镜发现
- 食管癌最主要的诊断手段是A、食管钡餐造影
- F FDG PET及PET-CT肿瘤显像
- 下列不属于细胞因子类生物反应调节剂的是A
- WHO癌症控制战略行动计划的指导原则应除
- 1、根据病史和CT图像,你的初步临床诊断
- 患者女,56岁。因肉眼血尿就诊, 行肾脏
- 费城染色体(Ph chromosome)
- 1、诊断为尤文肉瘤,主要应与以下哪一种病