试题详情
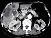
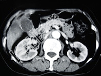
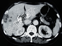
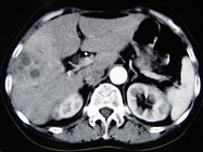
- 单项选择题女,66岁, 右上腹痛,发热伴有黄疸两月余, 消瘦、纳差,影像检查如图, 最可能的诊断为( )




A、胆囊癌及原发性肝癌
B、肝内胆管细胞癌
C、胆囊结石及脂肪肝
D、胆囊结石及肝血管瘤
E、胆囊癌肝转移
关注下方微信公众号,搜题查看答案

热门试题
- 女,33岁, 三个月前有右上肢及右颜面部
- 某治疗中心认为常规治疗2Gy×1次/天,
- 中医治疗肿瘤的治则有( )A、活血化
- 以下哪组抗体的检测在临床上用于判定乳腺癌
- 肝癌的常见影像学特点包括( )A、可
- 以下选项中不属于临床试验规范的内容的是(
- 为提高基因治疗安全性,可将目的基因整合到
- 发生于消化道的胃肠间质瘤(GIST),最
- 单纯放射治疗Ⅰa期子宫内膜癌,F点剂量是
- 肿瘤细胞的细胞生物学特征包括有A、核质比
- 1、直肠癌做术前同步放化疗对手术的影响是
- 在我国首次进行基因治疗的遗传性疾病为(
- 1、针对睾丸病变首选的影像学检查为(
- 为更清楚判断鼻咽癌原发部位累及范围,最佳
- 1、正确的术后治疗是2、最佳用药是
- 肿瘤外科手术后远处转移的主要原因应是(
- 以下哪种肿瘤的发生与人乳头瘤病毒(HPV
- 以下不属于子宫内膜癌体外放疗指征的是A、
- 伴有钙化的肾肿瘤中最常见的为 (
- 1、该患者现阶段的分期是( )A、Ⅲ