试题详情
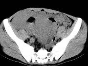
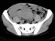
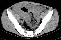
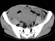
- 单项选择题男,23岁, 下腹部肿块伴持续性钝痛1月余,影像所见如图, 最可能的诊断为 ( )

A、小肠癌
B、小肠淋巴瘤
C、小肠转移瘤
D、小肠结核
E、小肠间质瘤
关注下方微信公众号,搜题查看答案

热门试题
- 肺癌治疗的最主要的失败是因为 (
- 化学致癌过程可以分为( )A、复发阶
- 肿瘤的外科治疗原则为 ( )A、
- 以下选项中属于肿瘤患者心理治疗的具体方法
- 膀胱肿瘤中最具有价值的诊断是 (
- 病人颈部淋巴结肿大常应考虑的疾病为 (
- 早期乳癌在乳腺肿瘤切除术后做放疗者,5年
- 小细胞肺癌局限期不包括的病变是A、同侧膈
- 关于宫颈癌放射治疗无误的是 (
- 关于癌性疼痛的治疗,以下叙述中正确的是(
- 1、该患者的临床分期是( ) (
- 中、晚期下咽癌(T3-4N
- 通常不发生转移的器官是A、胸膜、腹膜B、
- 便血病人临床上应该做 ( )A、
- 放射治疗宫颈癌,直肠受量参考点的位置是
- 肿瘤的分期可以A、反映肿瘤的行为特征B、
- 女,65岁, 肝区疼痛1月余,CT检查如
- 口腔癌最常见的病理类型应为A、鳞状细胞癌
- 我国癌症现阶段防治现况是( )A、肿
- 骨骼肌肉系统恶性肿瘤最常见的转移部位为A