试题详情
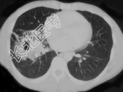
- 单项选择题男,42岁, 高热,寒战, 咳嗽,胸痛1周左右, CT检查如图,选择最可能的诊断 ( )


A、肺结核
B、肺癌
C、肺囊肿
D、肺脓肿
E、肺转移瘤
关注下方微信公众号,搜题查看答案

热门试题
- 女性,36岁, 2个月前突然发热、咽痛、
- 闭合性肋骨骨折的病人,如果出现下列哪项症
- 关于自发性食管破裂,叙述错误的是A、病因
- 外科感染的特点,错误的是A、一般是指需要
- 下列有关支气管扩张症的描述哪个是错误的A
- 女,23岁, 消瘦盗汗1月余,干咳1周,
- 男,28岁, 咳嗽3月,伴咳痰, 胸片如
- 有关细菌性肝脓肿的叙述下列哪项是不正确的
- 为减少闭合性单处肋骨骨折病人的呼吸系统并
- 1、为进一步明确诊断,下列哪项检查程序最
- 女,72岁, 咳嗽,胸闷, 呼吸困难1月
- 男性,48岁, 背部肿块3cm×4cm,
- 女,64岁, 胸背疼痛一周,CT检查如图
- 33岁,男, 咳嗽1周,有骨肉瘤病史,
- 高位小肠梗阻早期酸碱平衡紊乱的表现为A、
- 下列能够引起纵隔摆动的胸部外伤有A、肺爆
- 男,28岁, 胸闷一周,胸部CT如图,
- 1、为进一步诊断,首先应用进行的检查项目
- 关于完全肺静脉异位连接,叙述错误的是A、
- 应与弥漫性细支气管肺泡癌相鉴别的是A、结