试题详情
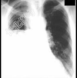
- 单项选择题女性,36岁, 2个月前突然发热、咽痛、咳嗽、少量黄痰,经消炎治疗不见好转, 一个月前,咳嗽加剧, 并有呼吸困难,经两次胸穿抽出脓液300ml, 症状不见好转,胸片如图, 提示右侧胸腔有一液平,现应采取的治疗方法 ( )

A、消炎吸氧,输血补液
B、锁骨中线第2肋间闭式引流
C、胸穿排脓
D、腋中线第7肋间闭式引流
E、腋前线第9肋间闭式引流
关注下方微信公众号,搜题查看答案

热门试题
- 小细胞肺癌最显著的临床特点是A、属于未分
- 有关肺癌的手术治疗下述哪项正确 (
- 男,35岁, 被汽车撞伤右胸已经24小时
- 从下列药物中选出常用于肺癌的化疗药物
- 临床上以左双腔气管插管应用较为普遍的原因
- 关于胸腺瘤的描述,下列哪项错误 (
- 男,76岁, 气喘数年,胸痛一月余, 结
- 有关肺癌的外科治疗,下述哪项不正确 (
- 引起急性阑尾炎最重要的原因是A、血行感染
- 男,66岁, 剧烈胸痛,请结合CT图像,
- 肾上腺素在心肺脑复苏中的作用不正确的是A
- 胸导管是人体最大的淋巴管,胸部闭合性损伤
- 关于闭式胸膜腔引流术,下列哪项是正确的?
- 患者,男, 60岁,持续干咳二个月, 偶
- 男性,30岁,胸部外伤后,右侧胸壁局部区
- 预防创伤后发生气性坏疽最可靠的方法是A、
- 肺癌各病理类型的部位特点为 (
- 最常见的膈疝是以下哪种A、食管裂孔疝B、
- 结节病最易侵犯的器官是A、皮肤B、肺C、
- 女性,35岁, 胸外伤已5小时,脉搏13