试题详情
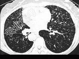
- 单项选择题女,23岁, 消瘦盗汗1月余,干咳1周, 偶痰中带血,影像如图, 最可能的诊断为 ( )



A、粟粒性肺结核
B、含铁血黄素沉着
C、弥漫性肺纤维化
D、慢性支气管炎
E、SLE肺部侵犯
关注下方微信公众号,搜题查看答案

热门试题
- 男性,59岁, 痰中带血就诊,X线检查如
- 早期支气管肺癌,首选的治疗方法为 (
- 1、最可能的诊断是2、为明确诊断,可采取
- 1、根据临床表现及X线所示你认为以下哪种
- 食管癌的手术并发症,不包括A、吻合口瘘B
- 原发性纵隔肿瘤的特殊检查包括 (
- 下列哪种检查结果与肺动脉口狭窄诊断不符A
- 确诊肺癌的依据是A、痰细胞学检查B、咳嗽
- 器械浸泡在70%乙醇或0.1%新洁尔灭溶
- 如果支气管镜检查发现右上叶支气管开口内有
- 转移性胸壁肿瘤转移部位多见于( )A
- 急性脓胸的治疗措施包括A、抗生素治疗B、
- 静脉高营养对下列哪种病因引起的肠瘘疗效差
- 全身麻醉的呼吸系统并发症不包括A、肺不张
- 食管癌经X线钡餐检查,下列哪项是错误的
- 如图,下列哪项是正确的 ( )<
- 肺癌各病理类型的部位特点为 (
- 下列有关支气管扩张的手术禁忌症描述正确的
- 1、最可能的诊断是2、可作为确诊依据的实
- 下列食管憩室的临床特点,不正确的是A、是