试题详情
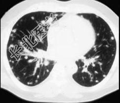
- 单项选择题女,72岁, 咳嗽,胸闷, 呼吸困难1月余,1年前行结肠癌根治术, CT检查如图,请选择最可能的诊断 ( )


A、肺癌
B、肺转移瘤
C、尘肺
D、间质性肺炎
E、粟粒型肺结核
关注下方微信公众号,搜题查看答案

热门试题
- 气管、支气管腺瘤最常见的病理学类型为A、
- 男性,42岁, 锅炉爆炸时被气浪掀倒,显
- 肺脓肿多发于下列哪些类型肺癌A、鳞癌B、
- 以下关于镁过多的临床表现中,错误的是A、
- 1、患者术前准备工作中哪项是错误的2、以
- 下述有关体表肿瘤描述中,不正确的是A、体
- 预防创伤后发生气性坏疽最可靠的方法是A、
- 最准确地判定病人营养状况的方法为A、三头
- 男性,62岁, 咳嗽、胸痛一月,X线检查
- 肺癌在较大支气管内长大后常出现A、声音嘶
- 胸膜固定术治疗恶性胸腔积液,可预测手术效
- 下列哪项不是肺癌常见的血行转移部位A、肾
- 目前弥漫大B细胞淋巴瘤的标准治疗方案是A
- 对于淋巴管瘤不正确的描述是A、起源于淋巴
- 一肺炎病人,经一般抗生素治疗后仍高热不退
- 男,16岁,被小刀刺伤左胸部,随即昏倒,
- 上腔静脉梗阻综合征最常见于 (
- 下列关于体内酸碱代谢失调时的叙述,错误的
- 随着抗生素的广泛应用,不仅使脓胸的发生率
- 轻度肺动脉口狭窄可产生的影响A、在静息时