试题详情
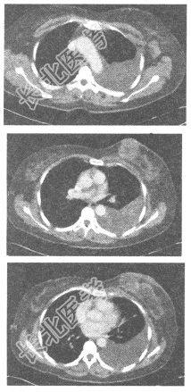
- 单项选择题患者,女性, 56岁,胸部CT发现乳腺占位性病变, 图像如下,以下对该患者乳腺病变较精确的诊断应为

A、乳腺癌
B、乳腺癌,并腋窝淋巴结转移可能性大
C、乳腺纤维腺瘤
D、乳腺炎
E、乳腺囊肿
关注下方微信公众号,搜题查看答案

热门试题
- 肺段隔离症影像学表现为A、肺内孤立结节,
- 正常人胸片中,由中央向外围走行的肺纹理,
- CR经X线照射后在影像板存留的是A、模拟
- 老年患者,右侧面部肿胀, 呈青紫色,MR
- MRI检查的操作程序正确的是A、检查前准
- 关于CT扫描层厚的理解,哪个是错误的
- 畸胎瘤的CT征象中,错误的是A、多为薄壁
- 与剑突末端至肚脐连线中点位于同一平面的是
- 男,44岁, 有10年饮酒史,8年前曾患
- CT用含碘造影剂进行增强扫描,关于碘过敏
- 灯丝发射电子特性曲线是A、一定管电流下B
- 1、关于滤线栅栅比的叙述正确的是2、关于
- 有关静脉肾盂造影的叙述,错误的是A、腹部
- 女,24岁, 发热畏寒数天,右眼睛疼痛,
- 下列哪项在头颅平片上不能显示 (
- CR摄影和常规X线摄影相比,下列哪些说法
- 腰大肌阴影起始于 ( )A、第1
- 关于透光率(T)的叙述,错误的是A、T的
- 男,53岁, 左眼痛、突出3年,结合图像
- 关于第1、2颈椎前后张口位体位,叙述正确