试题详情
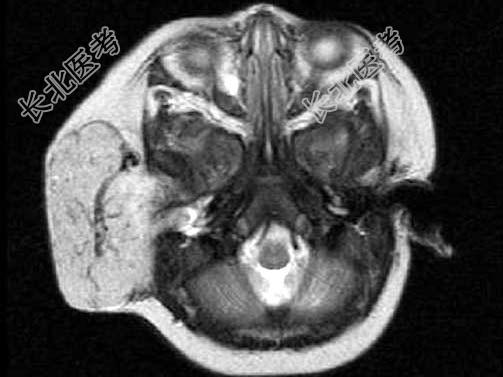
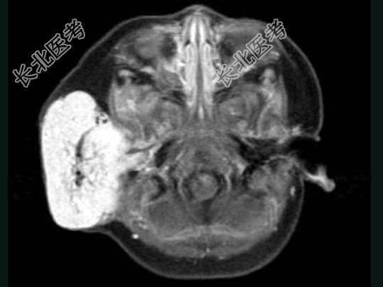
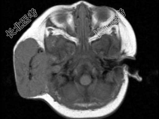
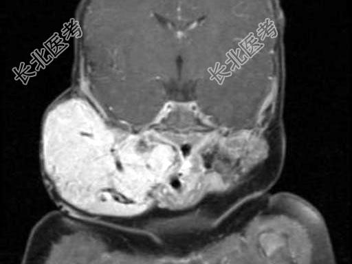
- 单项选择题老年患者,右侧面部肿胀, 呈青紫色,MRI检查如图所示, 最可能的诊断是 ( )

A、血管瘤
B、囊肿
C、脓肿
D、神经纤维瘤
E、神经鞘瘤
关注下方微信公众号,搜题查看答案

热门试题
- 1、为明确血管的闭塞程度应行的检查是2、
- X线管管套的功能不包括A、射线防护B、防
- 建立一个256×256矩阵的影像,要选择
- 自旋回波信号与梯度回波信号的差异是A、信
- 以下哪种胸部检查接受的X线量最大 (
- 关于MRCP与ERCP的比较,正确的是A
- X线摄片某处对入射光线吸收率为90%,此
- 股骨粉碎性骨折,侧位摄影首选的体位是A、
- CT平扫示左肾周低密度灶,增强扫描分泌期
- 关于视神经的叙述,下列哪项是错误的A、视
- 早期脑梗死最适宜的扫描方式为 (
- 下列哪项CT技术,对肾盏旁囊肿的诊断与鉴
- 疑有消化道穿孔,而立位片又未见游离气体,
- 肺下积液可见下列哪项征象A、横膈矛盾运动
- 对电容电流的叙述,错误的是A、电容电流随
- 肺不张的范围可以是 ( )A、
- 关于头颅侧位摄片,中心线应对准 (
- 空间分辨力又称高对比度分辨力,其表示单位
- 患者女,23岁, 咳嗽咳痰反复发作,根据
- 女,25岁, 初产妇哺乳期,右乳腺疼痛2