试题详情
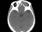
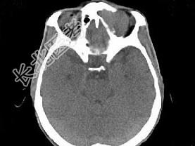
- 单项选择题男,53岁, 左眼痛、突出3年,结合图像, 最可能的诊断是 ( )

A、淋巴瘤
B、骨膜下脓肿
C、黏液囊肿
D、眼型Graves病
E、良性混合瘤
关注下方微信公众号,搜题查看答案

热门试题
- 患者女,63岁, 痰中带血2天,不咳嗽、
- 为降低呼吸运动对胸腹部MRI的干扰,临床
- 有关荧光现象的叙述,错误的是A、是在物质
- 以下有关CT值不正确的描述为 (
- 卷褶伪影产生的主要是原因是 (
- 男,54岁,B超体检示肝左叶强回声团块影
- 自动冲洗显影液中加入坚膜剂的作用是
- 属于超选择性造影的是A、腹主动脉造影B、
- 早期脑梗死最适宜的扫描方式为 (
- 有关胃肠道黏膜的说法中,哪些正确 (
- DSA非晶硅平板探测器的构成A、碘化铯构
- 自动无缝拼接技术的临床意义在于A、通过一
- 现代CT设备应用最多的探测器是A、钨酸镉
- 女,65岁, 绝经后不规则阴道流血2个月
- 妊娠3个月内应避免X线检查是因为X线的A
- 下列哪项CT图像不如X线平片 (
- 激光照相机的主要组成部分有 (
- 逆行肾盂造影的禁忌证是A、静脉肾盂造影显
- 心包上隐窝与横窦的分界为A、右肺动脉上缘
- 关于准直器的作用,错误的是A、显示照射野