试题详情
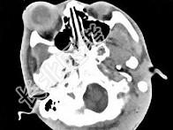
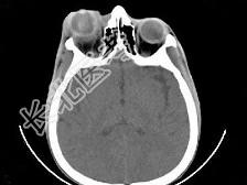
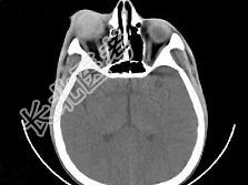
- 单项选择题女,24岁, 发热畏寒数天,右眼睛疼痛, PE:右眼睑肿胀, 结膜充血,伴右眼突出, CT如图所示,最可能的诊断是 ( )

A、Coats病
B、炎性假瘤
C、淋巴瘤
D、眼眶蜂窝织炎
E、眼型Graves病
关注下方微信公众号,搜题查看答案

热门试题
- 胶片按比例记录被照体密度范围的能力称为
- 1、关于腹部CTA,叙述正确的是2、采用
- 以下选项中,乳突许氏位投照时,球管中心线
- 有关水平面的定位,哪个是错误的 (
- 观察胆脂瘤,常规选用A、劳氏位(Law)
- 关于MRA与血管造影检查方法相比所具有优
- 在下列喉癌类型中,依淋巴转移率由高至低排
- 发生于视神经外的肌锥内肿瘤,最常见的是
- 多层螺旋CT重建预处理方法不包括A、扫描
- X线管内高速电子的动能取决于A、X线管灯
- 下列说法正确的是(介入化学药物) (
- 以下对CR特点的描述,哪项不正确 (
- 扫描必须包括上纵隔的疾病是 (
- 关于阳极制动电路的叙述不正确的是A、减少
- 常规副鼻窦扫描参数选择,下述哪项是错误的
- 经肾脏排泄的离子型对比剂是A、胆影葡胺B
- 关于容积效应的解释,下列哪个是错误的
- 颅骨骨髓瘤的典型X线表现为A、溶骨性骨质
- 快速自旋回波序列与自旋回波的差别是A、T
- 视神经鞘膜常发生的病变为 ( )