试题详情
- [材料题] 患者男性,66岁,腰痛数年伴左下肢疼痛麻木1周。
- 多项选择题1.患者应首先选择以下哪些影像学检查( )
A、左小腿X线片
B、腰椎CT
C、腰椎MR
D、腰椎X线平片
E、核素骨扫描
F、左膝关节CT
关注下方微信公众号,搜题查看答案

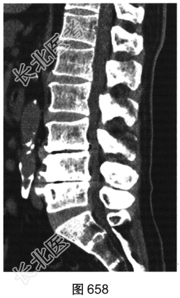
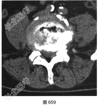
- 多项选择题2.[提示]患者行腰椎X线及CT检查,见图655~图659。患者有哪些阳性影像学表现( )




A、椎间盘“真空现象”
B、腰椎前滑脱
C、椎间盘膨出、突出
D、腰椎轻度侧弯
E、椎小关节骨质增生硬化
F、腰椎间隙变窄
关注下方微信公众号,搜题查看答案

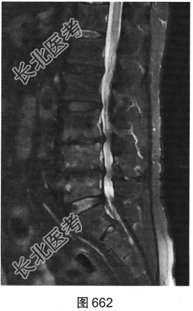
- 多项选择题3.[提示]患者行腰椎MRI检查,如图660~图663所示。患者MRI的T2压脂像上, 部分椎体上、下缘高信号提示( )



A、椎体感染所致的骨髓水肿
B、肿瘤侵蚀破坏
C、椎体轻度压缩骨折
D、脊椎结核
E、退变所致的终板炎
F、椎体脂肪化
关注下方微信公众号,搜题查看答案

- 多项选择题4.综合X线、CT和MRI图像,该患者有以下哪些腰椎退变征象( )
A、终板炎
B、腰椎间盘突出
C、许莫结节
D、黄韧带肥厚
E、腰椎管狭窄
F、腰椎间盘脱出,髓核游离
关注下方微信公众号,搜题查看答案

热门试题
- 成人骨折后,骨痂塑形期一般需 (
- 痛风性关节炎的早期病变发生于( )。
- 颈椎管狭窄的CT诊断标准为正中矢状径小于
- 女,55岁, 指尖部轻微肿痛,结合图像,
- 慢性化脓性骨髓炎MRI的影像表现,错误的
- 骨折1~2周之后骨样组织逐渐骨化形成骨性
- 男,21岁, 左上肢有外伤史,现感局部疼
- 男,2岁, 关节肿胀,结合图像, 最可能
- 男,21岁, 腰部不适,晨起加重半年余,
- 关于“动脉瘤样骨囊肿”,错误的是 (
- 指骨化脓性骨髓炎的X线表现,不正确的是A
- 30岁,男性, 头颈部外伤1小时,侧位片
- 慢性铅中毒时,若铅摄入停止,几年内铅线将
- 以下哪一项不是MRI检查骨骼系统的优点A
- 骨髓瘤病人经治疗后,病变有好转,MR信号
- 男,21岁, 慢性膝关节疼痛,活动受限,
- 男,77岁, 全身性骨痛,夜间加重, 贫
- 髋部一过性骨质疏松的特点或表现是 (
- 关节外伤脱位常发生在 ( )A
- 类风湿关节炎早期病变主要在 (