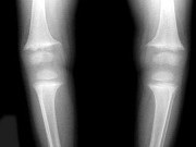
试题详情
- 单项选择题男,2岁, 关节肿胀,结合图像, 最可能的诊断是 ( )

A、肾性骨病
B、黏多糖贮积症
C、维生素D缺乏症
D、维生素C缺乏症
E、维生素D过多症
关注下方微信公众号,搜题查看答案

热门试题
- 男,30岁, 左大腿疼痛1年余,夜间或休
- 开放性神经管闭合不全伴随的畸形包括(
- 髋关节不能做的运动是( )。A、屈伸
- 哪一种改变不能引起继发性椎管狭窄A、黄韧
- 关于腱鞘囊肿,叙述错误的有( )A、
- CT观察椎间盘一般使用A、增强窗B、骨窗
- 化脓性关节炎与结核性关节炎区别点在于前者
- 恶性骨肿瘤的影像特征包括( )A、皮
- 下述“骨母细胞瘤”的描述,哪项错误
- 骨肉瘤最好发的部位是A、骨盆B、颅骨C、
- 外伤引起的椎体压缩性骨折X线片多见于A、
- 下述“畸形性骨炎”诊断要点,哪项错误
- 下列疾病常常无骨膜反应的是A、内生软骨瘤
- “三重信号征”可见于以下哪种疾病(
- 骨纤维肉瘤中央型的主要X线表现为 (
- 发生率最高的“腕骨骨折”是 (
- 女,53岁, 1月前无明显诱因右髂部持续
- 经皮穿刺腰椎间盘溶解术的禁忌证为A、过敏
- 男,11岁,持续性右足部疼痛,无发热。根
- 显示脊索瘤时,CT和X线平片不同点在于