试题详情
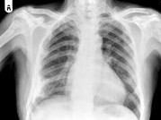
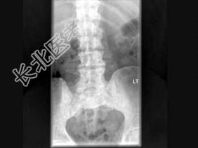
- 单项选择题男,77岁, 全身性骨痛,夜间加重, 贫血,PSA大于100, 结合图像,最可能的诊断是 ( )

A、成骨性骨转移
B、多发性骨髓瘤
C、慢性化脓性骨髓炎
D、骨肉瘤
E、以上都不是
关注下方微信公众号,搜题查看答案

热门试题
- 男,24岁, 四肢细长,蜘蛛指, 肌张力
- 马方(Marfan)综合征的主要表现是
- 属于关节退行性变的X线表现有 (
- 有外伤史,结合图像, 最可能诊断是
- Modic将椎间盘脱出分为四型,不包含下
- 下列不是月骨缺血坏死的X线征象的是A、密
- 出现下列哪项最应考虑“骨软骨瘤”恶变可能
- 女,12岁, 脊柱侧弯畸形,双下肢长短不
- 椎体骨与椎间盘破坏并存时,最先考虑哪种疾
- 骨质软化是指A、骨的有机成分增加B、骨的
- 有关尤文肉瘤,叙述正确的是A、病变好发于
- 有关环枢关节的描述,错误的是 (
- CT发现右侧肱骨骨干髓腔内密度增高,骨皮
- 有关骨髓病变,下列不正确的是 (
- 甲状旁腺功能亢进X线表现包括A、1/3发
- 男性,36岁。踝关节肿胀, 肢体麻木,有
- 组成腕关节的骨有 ( )A、豌
- 1、从患者临床表现,应考虑是( )。
- 1、最可能的诊断是2、若为多发性骨髓瘤,
- 下腰椎黄韧带增厚并钙化主要引起( )