试题详情
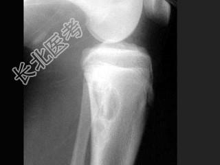
- 单项选择题男,22岁, 膝部酸痛、肿胀,结合图像, 最可能的诊断是 ( )

A、纤维性骨皮质缺损
B、嗜酸性肉芽肿
C、非骨化性纤维瘤
D、软骨黏液样纤维瘤
E、骨样骨瘤
关注下方微信公众号,搜题查看答案

热门试题
- 男,47岁, 关节炎病史20年,结合图像
- 男,26岁, 肘部红、肿、热、痛,疼痛呈
- 1、诊断为什么疾病2、下列哪几项支持上述
- 女,37岁, 腰腿痛半年,结合图像, 最
- “三重信号征”可见于以下哪种疾病(
- 软组织血管瘤的CT表现,正确的有A、软组
- 脊椎结核的较常见X线表现有 (
- 骨质软化是指A、骨的有机成分增加B、骨的
- 以下不是骨关节创伤CT检查的目的的是A、
- 关于良性骨肿瘤的描述正确的有 (
- 与骨样骨瘤的CT表现不符的是 (
- 骨巨细胞瘤的临床、病理及MR表现,错误的
- 1、应首先考虑的诊断是2、根据以上情况,
- 股骨头缺血坏死的“双线征”是指 (
- 肥大性骨关节病最常见于 ( )
- 女,52岁, 足跟痛,手指运动僵硬, 结
- 男,8岁, 咳嗽、咳脓痰,背部肿痛。结合
- 下列疾病属于骨关节肿瘤的是A、骨囊肿B、
- 女,35岁, 7个月前无诱因出现左下肢阵
- 关于膝关节十字韧带撕裂的描述,错误的是