试题详情
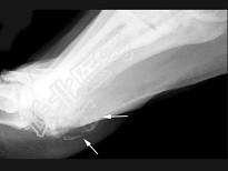
- 单项选择题男,47岁, 关节炎病史20年,结合图像, 最可能的诊断是 ( )

A、类风湿关节炎
B、痛风
C、骨关节结核
D、牛皮癣性关节炎
E、Reiter综合征
关注下方微信公众号,搜题查看答案

热门试题
- 疲劳骨折最好发部位之一是A、第二跖骨B、
- 1、根据题干临床表现,首先考虑患者为下列
- 女,20岁, 左手第4掌骨处局部稍肿痛,
- 下列不是骨纤维异常增殖症的特点的是A、单
- 股骨头缺血坏死的CT表现为 (
- 与脊柱、脊髓MRI检查技术无关的是(
- 提示骨折不愈合下列哪项是错误的 (
- 1、X线平片表现不包括2、观察X线平片后
- 下列哪一种韧带是横跨过环椎弓的宽阔的韧带
- 下列有关骨折基本X线征象中,哪项正确
- 女,19岁, 左髋疼痛、活动受限伴跛行6
- 骨梗死的X线改变包括A、囊状及分叶状透光
- 男,37岁, 出现多处骨折,结合图像,
- 脊柱退行性骨关节病X线表现:①椎间隙狭窄
- 下述一组软组织肿瘤的MRI表现中,哪项不
- 如图所示,最可能的诊断是 (
- 前臂孟氏骨折是 ( )A、尺骨中
- 下述"软骨母细胞瘤"诊断要点中,哪项不正
- 女,38岁, 因右大腿远端部有疼痛,可摸
- 以下哪项不是骨巨细胞瘤的CT征象 (