试题详情
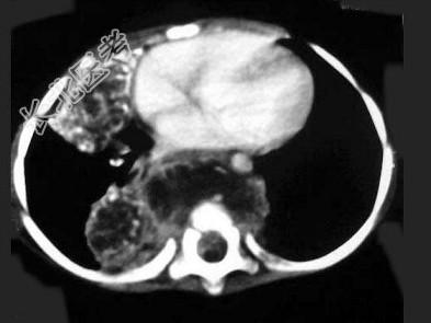
- 单项选择题男,8岁, 咳嗽、咳脓痰,背部肿痛。结合图像, 最可能的诊断是 ( )

A、化脓性脊柱炎
B、脊柱转移瘤
C、椎体压缩骨折
D、神经鞘瘤
E、脊椎结核
关注下方微信公众号,搜题查看答案

热门试题
- 1、为了进一步诊断,你认为首先需要做哪项
- 男,32岁, 因车祸致右髋关节肿痛,活动
- 骨膜增生的X线表现中,无以下哪种形状
- 良性骨肿瘤的最佳检查方法是 (
- 肱骨外科颈骨折指骨折部位发生在解剖颈下
- 有关脊索瘤,描述错误的是( )A、多
- 骨膜增生的CT表现,正确的是A、CT能显
- 男,21岁, 腰部不适,晨起加重半年余,
- 下列属于厌骨性肿瘤的是A、肺癌B、皮肤癌
- 多发性骨软骨瘤出现哪些情况应高度怀疑恶变
- 骨关节结核最好发于A、脊椎B、骶髂关节C
- 患者,女性, 50岁,右股骨下端疼痛2个
- 男,15岁, 畏寒,高热2周, 摄片如图
- 具有典型“附丽病”表现的是A、RAB、A
- 骨质破坏的病因包括 ( )A、
- CT显示颈椎横突孔骨折,提示:A、重要神
- 骨骺损伤的表述,错误的是A、干、骺愈合前
- 脊柱结核的最好发部位A、胸椎B、颈椎C、
- 关于急性化脓性骨髓炎,下列不正确的是A、
- 男,55岁, 趾骨疼痛,皮肤红肿, 可触