试题详情
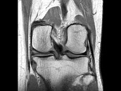
- 单项选择题男,29岁, 左膝关节有外伤史,膝关节疼痛, 活动受限,结合所提供的图像, 最可能的诊断是 ( )

A、未见异常
B、前十字韧带撕裂
C、内侧半月板外周后角垂直撕裂
D、内侧半月板后角撕裂
E、后十字韧带撕裂
关注下方微信公众号,搜题查看答案

热门试题
- 对椎间盘变性的错误描述是( )A、可
- 女,26岁, 骶髂部疼痛2年余,间歇发作
- 退行性骨关节病与夏科关节鉴别点为 (
- 与MRI比较,CT显示以下哪一种病变较好
- 以下关于“脊柱硬膜外脓肿”特点中,哪项正
- 1、最可能的诊断是2、骨肉瘤的好发年龄是
- 女性,10岁, 下肢跛行,颈、胸部皮肤色
- “恶性骨肿瘤”发病顺序依次为 (
- 下列有关软骨发育不全的X线表现中,哪项错
- 骨肉瘤的主要转移途径是A、血行转移B、淋
- CT诊断椎间盘膨出的特征性表现是A、椎间
- 肩关节前脱位常见的类型有A、喙突下型B、
- “骶骨骨折”常为 ( )A、粉碎
- 腰椎术后不良综合征原因有 ( )
- 甲状旁腺功能亢进X线表现包括A、1/3发
- 类风湿关节炎早期病变主要在 (
- 女,38岁, 慢性疾病史,结合图像, 最
- 强直性脊柱炎MRI诊断,正确的为A、病变
- 下列骨折发生后,容易发生缺血性骨坏死的是
- 如图所示,患儿的最可能的诊断是 (