试题详情
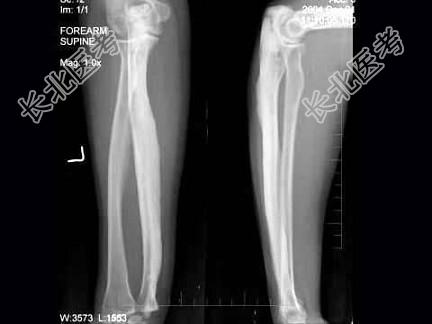
- 单项选择题30岁,女, 因左前臂酸胀不适1年,活动可, 左前臂正侧位片如图所示,最可能诊断是 ( )

A、左尺骨蜡泪样骨病
B、石骨症
C、骨皮质增厚症
D、骨膜炎
E、慢性化脓性骨髓炎
关注下方微信公众号,搜题查看答案

热门试题
- 方形椎体可见于 ( )A、维生素
- 正常成年人胸椎椎管前后径范围为 (
- 多见于恶性肿瘤的骨质破坏A、单囊B、膨胀
- 女性,66岁。全身性骨骼疼痛2个月余,
- 女,48岁, 车祸致右胫腓骨骨折,外固定
- 男,30岁, 主诉右大腿肿块年余,逐渐增
- 女,14岁, 体操运动员,足中部痛, 结
- 下述“骨母细胞瘤”的描述,哪项错误
- 类风湿关节炎最常见的起始部位( )。
- 男,35岁, 下腰部痛,L4-5棘突旁有
- 关于骨肌系统CT扫描,错误的是A、参考X
- 确定骨肉瘤诊断的本质性X线表现为A、骨折
- 下列不属于成人化脓性骨髓炎特点的是
- 患者足痛,如图所示, 最可能诊断为
- 女,28岁, 反复骨骼疼痛,结合图像,
- 痛风性关节炎的早期病变发生于( )。
- 关于软组织血肿,描述正确的是:A、如没有
- “Maffucci综合征”基本病理改变为
- 患者全髋修补术失败,1周后CT如图所示,
- 多发性骨髓瘤的X线表现中,下列哪项不正确