试题详情
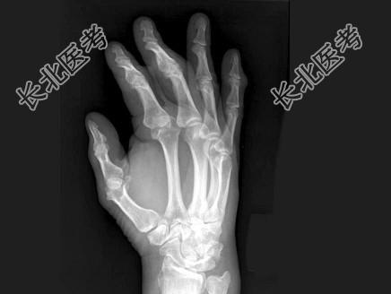
- 单项选择题男,24岁, 双手疼痛,结合图像, 最可能的诊断是 ( )

A、肢端肥大症
B、骨质疏松症
C、类风湿关节炎
D、痛风
E、维生素D缺乏症
关注下方微信公众号,搜题查看答案

热门试题
- 女,12岁, 脊柱侧弯畸形,双下肢长短不
- 外生骨疣是指( )。A、致密型骨瘤B
- 下述关于“肋骨先天性畸形”,哪项错误
- 动脉瘤样骨囊肿CT表现为A、病变呈囊状膨
- 男,21岁, 左上肢有外伤史,现感局部疼
- 骨样骨瘤偶见于 ( )A、胫骨B
- 男,58岁, 右大腿酸痛,弯曲变形, 有
- 女,53岁, 1月前无明显诱因右髂部持续
- 下列名称中,无骨质硬化表现为 (
- CT发现右侧肱骨骨干髓腔内密度增高,骨皮
- 正常髋关节MR行横轴位及冠状位均可清楚显
- 下述骨肿瘤,哪项无多发倾向 (
- 骨样骨瘤的MRI表现中,哪项错误A、肿瘤
- 最容易损伤椎动脉的骨折部位是 (
- 关节结核的关节面破坏首先发生在A、骨骺B
- 患者,女, 24岁。腰痛2个月余,查体:
- 关节结核最多见于A、踝关节B、膝关节C、
- “腕骨二次骨化中心”出现的正常顺序是
- 骨嗜酸性肉芽肿最易累及( )。A、腰
- 引起骨质破坏的病变有 ( )A