试题详情
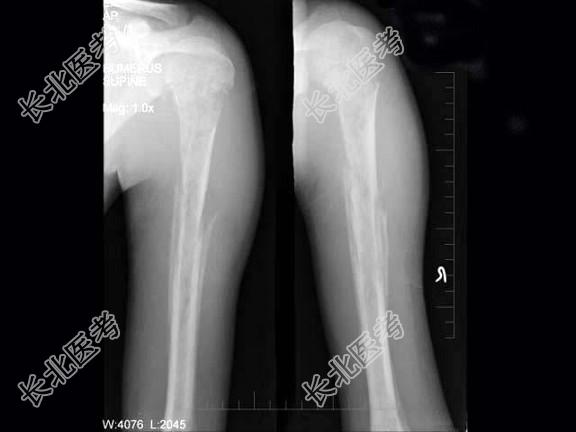
单项选择题男,15岁, 畏寒,高热2周, 摄片如图所示,下列诊断正确的是 ( )

A、急性化脓性骨髓炎

B、慢性化脓性骨髓炎

C、溶骨性骨肉瘤

D、尤文肉瘤

E、以上均不正确

  • 关注下方微信公众号,搜题查看答案

热门试题