试题详情
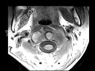
- 单项选择题女,29岁, 有午后发热,夜间盗汗, 消瘦等,枕颈部疼痛, 活动头部时加重,休息后减轻, 结合所提供的图像,最可能的诊断是 ( )

A、未见异常
B、寰枢椎骨转移
C、寰枢椎退行性变
D、寰枢椎结核
E、骨髓瘤
关注下方微信公众号,搜题查看答案

热门试题
- 肋软骨钙化最后是第几肋骨A、1B、2C、
- 1、诊断为什么疾病2、下列哪几项支持上述
- 下列“多发性软骨瘤”诊断要点中,哪项错误
- 青少年患者,踝痛,最可能的诊断是 (
- 男,55岁, 腰背痛,反复感染, 尿蛋白
- 以下哪种肿瘤易形成肿瘤软骨A、骨纤维瘤B
- 患者,男,30岁。左膝关节间歇性肿痛1年
- 男,16岁, 咳嗽十余年,结合图像, 最
- 下列关于“Sprengel畸形”,哪项错
- 男,21岁, 手部不慎摔伤,局部疼痛,
- 女,12岁, 脊柱侧弯畸形,双下肢长短不
- 青少年患者,臀疼, 最可能的诊断为
- 女,53岁, 1月前无明显诱因右髂部持续
- 引起血清碱性磷酸酶升高的骨病是 (
- 软组织脂肪瘤的MRI表现,正确的是A、M
- 关于骨髓瘤的描述,下列错误的是( )
- 骨髓瘤病人经治疗后,病变有好转,MR信号
- 关于骨囊肿的X线表现,下面描述不正确的是
- 男,38岁, 左膝痛,受伤时出血较多,
- 女,39岁。发现左大腿下段后部有一肿块,