试题详情
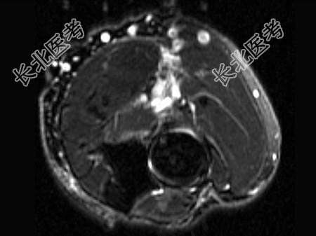
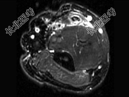
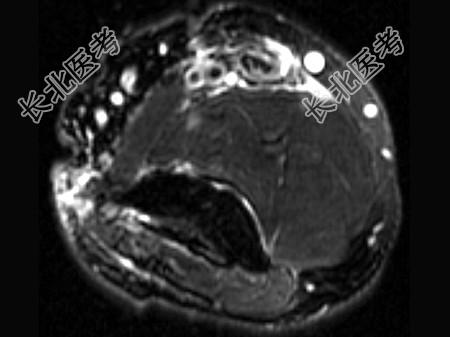
- 单项选择题女,44岁, 有外伤史,上臂远端疼痛, 结合图像,最可能的诊断是 ( )

A、未见异常
B、肱骨挫裂伤
C、肱二头肌腱远侧感染
D、肱二头肌腱远侧局部裂伤
E、肱骨骨髓炎
关注下方微信公众号,搜题查看答案

热门试题
- 骨肿瘤影像诊断的主要依据是( )。A
- 关于施莫尔(Schmorl)结节,不正确
- 骨转移瘤的MRI诊断,错误的是A、MRI
- 骨样骨瘤偶见于 ( )A、胫骨B
- 男,35岁, 皮肤可见咖啡色素斑,关节疼
- 男,56岁, 踝关节肿胀,有糖尿病史,
- 成人骨髓炎的特点有 ( )A、
- 完成骨塑形期在儿童需要A、1~2年B、2
- 男,5岁,左踝部肿痛2周,CT平扫MPR
- 指出骨麻风病特异性的X线表现 (
- 女,79岁, 双手肿块,疼痛, 结合图像
- 关节结核的描述不包括( )。A、多继
- 6岁,女, 右小腿疼痛,跛行5年, 无明
- 男,30岁, 感右下颌部有一肿物,逐渐肿
- 夜间痛明显,服用水杨酸后疼痛缓解是下列哪
- 下列符合脊椎滑脱的叙述有A、分真性滑脱和
- 软组织血管瘤MRI诊断中,最具价值的征象
- 男,38岁, 膝关节肿痛,关节弯曲畸形,
- 正常颈3~7椎管前后径下限为A、10mm
- 男,48岁, 腘窝上方疼痛2年余,呈持续