试题详情
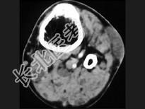
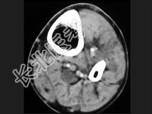
- 单项选择题男,35岁, 皮肤可见咖啡色素斑,关节疼痛, 结合图像,最可能的诊断是 ( )

A、骨肉瘤
B、骨转移瘤
C、神经纤维瘤
D、骨软骨瘤
E、纤维肉瘤
关注下方微信公众号,搜题查看答案

热门试题
- 下列有关软骨发育不全的X线表现中,哪项错
- 下述描述不符合骨巨细胞瘤的表现的是A、长
- 齿状突与枢椎如果不联合则成为游离骨组织,
- 下列斜坡鞍区肿瘤CT平扫呈混杂密度影的是
- 1、根据以上临床资料及影像学检查,初步诊
- 骨转移瘤较常见的影像学征象为A、多发棉絮
- 青枝骨折多发生在 ( )A、儿童
- 男,15岁, 右膝阵发性疼痛,夜间加重,
- 男,6岁, 身材矮小,关节畸形, 血钙磷
- MPSI-H型的临床表现中,哪项不正确
- 椎体属于什么类型的骨A、长骨B、短骨C、
- 椎体一次化骨中心缺血坏死的特征性X线表现
- 最容易损伤脊髓的外伤是 ( )A
- 骨膜增生的X线表现中,无以下哪种形状
- 青少年患者,踝痛,最可能的诊断是 (
- 男,60岁。肺癌术后2年, 腰背痛2个月
- 骨折不愈合的X线征象是A、两骨折端移位B
- 骨骼肌肉系统的软组织包括A、肌肉B、神经
- 下列有关儿童骨骺骨折的说法,错误的是A、
- 颅骨嗜酸性肉芽肿的特征性X线表现是