试题详情
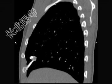
- 单项选择题男,16岁, 咳嗽十余年,结合图像, 最可能的诊断是 ( )

A、胸廓内骨软骨瘤
B、周围型肺癌
C、陈旧性肺结核
D、胸膜粘连
E、以上都不是
关注下方微信公众号,搜题查看答案

热门试题
- 1、根据髋关节CT和MR影像,你认为此病
- 肩关节脱位最常见的类型是 ( )
- 下述疾病均可见假性骨折或Looser带,
- 女,24岁, 反复发作的骨骼肌肉痛,结合
- 外伤间接暴力是指 ( )A、外力
- 下列有关骨折基本X线征象中,哪项正确
- 柯雷斯骨折(Colles骨折) (
- 男,21岁, 有午后发热,夜间盗汗等,
- 骨样骨瘤偶见于 ( )A、胫骨B
- 男,12岁, 右前臂外伤后入院。结合图像
- 女,10岁, 右小腿肿块2年,CT示肿块
- 骨折的并发症和后遗症有 ( )
- 下列"脊柱结核"MRI征象,哪项不对A、
- 关于骨肿瘤的发病部位,描述错误的是(
- 女,52岁, 足跟痛,手指运动僵硬, 结
- 1、最可能的诊断是2、骨肉瘤的好发年龄是
- 急性化脓性骨髓炎的骨质X线平片表现,在发
- 骨囊肿的X线表现中,哪项应除外A、囊肿一
- “恶性骨肿瘤”发病顺序依次为 (
- 下列畸形,与“Klippel-Feil综