试题详情
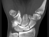
- 单项选择题男,21岁, 手部不慎摔伤,局部疼痛, 结合图像,最可能的诊断是 ( )

A、大多角骨骨折
B、小多角骨骨折
C、三角骨骨折
D、月骨骨折
E、舟状骨骨折
关注下方微信公众号,搜题查看答案

热门试题
- 男,24岁, 四肢细长,蜘蛛指, 肌张力
- 多发性转移瘤,MRI检查时哪种序列最敏感
- CT扫描对早期骨肉瘤诊断的价值在于显示
- 下列哪项不符合股骨头缺血性坏死的表现
- 1、应诊断何种疾病2、如欲确定腰大肌病变
- 脊柱结核的最好发部位A、胸椎B、颈椎C、
- 男,65岁, 小便不畅半年,腰骶部、骨盆
- 男,10岁, 左膝关节反复肿胀,伴低热2
- 女,47岁, 腰背痛并向髋部和下肢放射,
- 男,41岁, 后枕部不适1个月余。根据C
- 骨髓瘤好发部位为A、颅骨B、脊椎C、肋骨
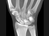
- 组成腕关节的骨有 ( )A、豌
- 关于骨质疏松描述,错误的是( )。A
- 以下哪种骨骼兼有膜内骨化和软骨内骨化
- 急性化脓性骨髓炎的骨质X线平片表现,在发
- 下述疾病中可见关节内游离体的是 (
- 骨骺损伤的表述,错误的是A、干、骺愈合前
- X线平片只能识别哪种正常关节结构A、关节
- 硬膜外脓肿的MRI诊断依据是A、T
- 骨巨细胞瘤的CT表现为 ( )