试题详情
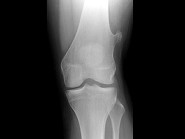
- 单项选择题女,39岁。发现左大腿下段后部有一肿块, 质较硬,无明显疼痛感觉, 结合所提供的图像,最可能的诊断是 ( )

A、软骨肉瘤
B、软骨瘤
C、骨肉瘤
D、骨软骨瘤
E、骨瘤
关注下方微信公众号,搜题查看答案

热门试题
- 骨折已半年以上骨折断端仍有异常活动称为A
- 男,22岁, 腰部疼痛3个月余,结合图像
- 下列哪项是造成硬膜外压迫的最常见的原因
- 男,47岁, 关节炎病史20年,结合图像
- 前列腺癌常发生骨转移,其表现为 (
- 男,35岁, 皮肤可见咖啡色素斑,关节疼
- 1、最可能的诊断是 ( )2、发
- 关于骨梗死的MRI诊断,正确的描述是(
- 甲状旁腺功能亢进最具特征的X线征象是A、
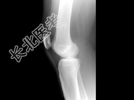
- 男,16岁, 左膝痛,结合图像, 最可能
- 椎体血管瘤MRI表现 ( )A、
- 强直性脊柱炎应拍摄( )。A、腰椎前
- 腰椎两旁的腰大肌影起于 ( )A
- 男,37岁, 出现多处骨折,结合图像,
- 骨盆骨折常可合并邻近器官的外伤,常易损伤
- 腰椎侧隐窝的后界是 ( )A、上
- 骨骺损伤的表述,错误的是A、干、骺愈合前
- 根据软骨所含纤维不同,软骨可分为 (
- 溶骨性转移性骨肿瘤的CT表现,下列不正确
- 扁平椎常见于A、椎体嗜酸性肉芽肿B、脊柱