试题详情
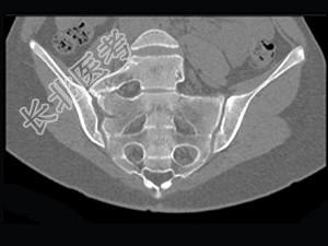
- 单项选择题男,35岁, 下腰部痛,L4-5棘突旁有明显压痛, 结合图像,最可能的诊断是 ( )

A、压缩性骨折
B、椎体融合
C、腰椎骶化
D、骶椎腰化
E、退行性骨关节病
关注下方微信公众号,搜题查看答案

热门试题
- “短肢型侏儒”可见于 ( )A、
- X线表现的严重程度与临床症状不相称,为下
- 1、为了明确诊断,需要做以下哪些检查(
- 女,19岁, 左髋疼痛、活动受限伴跛行6
- 男,68岁, 行走时疼痛,无红、肿、热、
- 下述神经性关节病的X线表现中,哪项不正确
- 男,77岁, 全身性骨痛,夜间加重, 贫
- 男,10岁, 左膝关节反复肿胀,伴低热2
- 下述有关关节的叙述哪项错误A、关节软骨主
- 下列“多发性软骨瘤”诊断要点中,哪项错误
- 化脓性关节炎与结核性关节炎的主要X线不同
- “皂泡影”常见于( )。A、软骨瘤B
- 下述有关骨软骨缺血坏死的命名组合中,哪项
- 哪些原因可引起寰枢关节半脱位 (
- 骨巨细胞瘤的临床、病理及MR表现,错误的
- “棕色瘤”见于A、骨囊肿B、动脉瘤样骨囊
- 男,59岁, 右侧髋骶部持续性疼痛,夜间
- 女,14岁, 左大腿上部轻度疼痛1周,结
- 完成骨塑形期在儿童需要A、1~2年B、2
- 男,15岁,左大腿疼痛2个月。X线片示: