试题详情
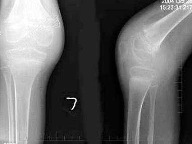
- 单项选择题男,10岁, 左膝关节反复肿胀,伴低热2年, 经抗感染效果不佳,结合图像, 最可能诊断是 ( )

A、左膝关节结核(滑膜型)
B、左膝关节结核(骨型)
C、左膝关节结核(混合型)
D、左膝化脓性关节炎
E、以上均不正确
关注下方微信公众号,搜题查看答案

热门试题
- 1、关于病变发生部位,叙述正确的是2、对
- 骨样骨瘤偶见于 ( )A、胫骨B
- 男,61岁, 低烧,消廋, 胸片示有结核
- 青枝骨折多发生在 ( )A、儿童
- 30岁,男性, 头颈部外伤1小时,侧位片
- 男,20岁, 右小腿肿胀2年。CT示右小
- 男,16岁, 长期的骨骼肌肉畸形,听力障
- 下列哪些为厌骨性转移性肿瘤 (
- 绿色瘤见于下列哪种病 ( )A、
- 骨质疏松的X线表现有( )。A、呈鱼
- 关于骨肿瘤的发病部位,描述错误的是(
- 男,67岁, 脊髓痨患者,右下肢麻木,
- 骨折1~2周之后骨样组织逐渐骨化形成骨性
- 男,42岁, 运动员,举重时左胸壁突然疼
- 正常肩关节SE序列T
- 旋转性寰枢关节半脱位的CT诊断,正确的为
- 下述哪种肿瘤来源于骨髓组织 (
- 关于类风湿关节炎,错误的是( )。A
- 男,56岁, 骶部持续性疼痛,夜间加重,
- 男性,32岁。髋部疼痛, 结合图像,最可