试题详情
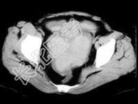
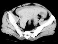
- 单项选择题女,32岁, 因停经46天,少许不规则阴道流血15天, 下腹胀痛3天入院,后穹窿穿刺抽出不凝血, CT检查如图所示,下列说法错误的是 ( )

A、在左附件区可见一椭圆形略高密度病灶
B、病灶外缘较光整
C、盆腔内较高密度积液
D、考虑为宫外孕
E、考虑为卵巢巧克力囊肿
关注下方微信公众号,搜题查看答案

热门试题
- 典型的嗜铬细胞瘤的MRI表现是A、病灶在
- 最准确的前列腺测量的成像方法为哪种A、膀
- 磁共振子宫结合带的生理基础是( )A
- 在肾上腺疾病中,下列哪项为肾上腺髓质病变
- 女,26岁, 临床诊断为绒毛膜癌,行经腹
- “黄色肉芽肿性肾盂肾炎”的诊断要点,下述
- 患者,男,45岁。全程无痛性肉眼血尿反复
- 以下肾肿瘤中,哪种最常发生肺转移 (
- 关于正常肾脏MRI表现,错误的是A、肾盂
- 影像检查中B超发现右肾有2cm大小结节,
- 前列腺肥大介入治疗的禁忌证有哪些A、膀胱
- 儿童期最常见的肾肿瘤是A、肾细胞癌B、多
- 患者,女。尿频尿急1年, 尿白细胞(3+
- 关于脐尿管,正确的说法是A、闭锁的脐尿管
- 前列腺癌CT检查的正确描述是A、前列腺内
- 以下关于肾转移瘤影像学表现,不正确的是A
- 女,55岁, 结合所示图像,最可能的诊断
- 1、在选择影像检查方法前,应先了解患者哪
- 孕妇子宫肌瘤的MRI表现,下列正确的是(
- 女,35岁, 曾行剖宫产手术,有痛经史5