试题详情
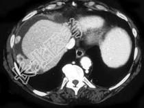
- 单项选择题女,55岁, 结合所示图像,最可能的诊断是 ( )

A、卵巢癌种植转移
B、间皮瘤
C、良性肿瘤
D、石棉沉积症
E、以上都不是
关注下方微信公众号,搜题查看答案

热门试题
- 输卵管僵硬、狭窄、扩张或不通最常见的原因
- 女,45岁, 满月脸、向心性肥胖2年余,
- 肾癌动脉血管造影,正确的表现是A、肾动脉
- 宫颈癌Ⅲ期,肿瘤的MRI表现正确的是A、
- 关于卵巢浆液性囊腺癌,下列描述哪项不对A
- 下列关于多层螺旋CT的优点,错误的是
- 在泌尿系统检查中,错误的说法是A、MR可
- 伴有骨盆发育畸形的常见的泌尿系发育异常为
- 下列哪一个器官不在肾前间隙内 (
- Ⅱ期宫颈癌MRI影像特点为A、膀胱或直肠
- 肾上腺囊肿的诊断,错误的是A、超声检查是
- 女,64岁, 左侧腰部胀痛,行CT扫描,
- 哪项关于前列腺癌的描述是错误的 (
- 关于肾细胞癌的影像学诊断方法选择,错误的
- 1、为明确诊断,最简便的影像学诊断方法是
- 前列腺增生症的描述,下列正确的有A、前列
- 下列有关前列腺癌的临床分期,描述正确的是
- 下列关于肾上腺良、恶性肿瘤鉴别点的描述,
- 下列关于肾上腺皮质腺瘤的临床表现哪项正确
- 患者,男性, 34岁。尿频、尿急、尿痛1